パークアベニュー矯正歯科
〒194-0013 東京都町田市原町田4-15-10
JR横浜線「町田」駅 ターミナル改札口 徒歩2分
小田急「町田」駅 東口(交番前)出口 徒歩6分
パークアベニュー矯正歯科
新型コロナウイルスに関するお知らせ
当医院では来院なさるすべての方に手指のアルコール消毒をご協力いただき、一定時間おきの換気を行うようにしております。
又待合室の混雑を避けるため、お子様のご同伴者様は極力お一人とさせていただき、他の方はお車などでお待ちいただくようお願いしております。
ご理解ご協力のほどよろしくお願い申し上げます。
〒194-0013 東京都町田市原町田4-15-10
休診日や診療時間外にお困りの際は次の点をご確認願います。
装置が取れてしまった。又はワイアーははずれてしまった
取れてしまっても、痛みがなければ数日は問題ありません。
しかし、早く修理するに越したことはありませんので、ご都合がつくなるべく早いところで、お電話にて修理のご予約を入れてください。
ワイアーが飛び出して、頬を刺激して痛みがある
ご都合がつくなるべく早いところで、お電話にて修理のご予約を入れてください。
※修理の場合は急患の対応となりますので、ご都合のつく一番早いところでご予約を取らせていただきます。
院長 小田 裕昭
日本矯正学会認定医
パーク・アベニュー矯正歯科では「患者さんが主役」という理念のもとに 最新の矯正治療を提供してゆきたいと考えております。
よいかみ合わせは健やかな成長と健康な生活へのパスポート、美しい歯並びとすてきな笑顔は人生の強い味方です。私たち矯正歯科医の使命はスマイルと自信を持って素敵な人生を生きることのお手伝いすること。 現代人の生活はなにかと忙しいですよね、「患者さんが主役」を第一に考える当医院ではあなたが通いやすいように、診療日を土、日、月、火、木、金とし場所も駅のすぐ近くです。
「歯のきれいな人っていいですね」「すばらしい歯並びですね」「・・さんって素敵」なんて言われたら最高ですね! さあいっしょにスタートしましょう。
明るく、ゆったりとした天井の高い治療室です。
パークアベニュー矯正歯科
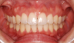
当医院で治療を受けている患者さんの50%がこの治療を選ばれています。
いままで矯正治療を受けたいと思っていたが、見えるのが気になって治療をためらっていた方には最適な方法といえるでしょう。

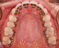
裏側から装置を付けたところです。

上

下
裏側からの治療(舌側矯正治療)において最も重要なポイントは、装置をいかに正確に正しい位置に付けるかということです。
装置の正しい位置づけにより、質の高い安定した治療を受けていただけます。
患者さんひとりひとりに調整していきます。
歯の裏側は常に唾液により洗浄されているので、表側と同じ条件で汚れが残っていると仮定すると唾液の流れの良い裏側は虫歯になりずらいといえます。
奥歯が前に移動しづらいという装置の特徴があるため、前歯が出ている方には有利な治療です。
多くの方が装置を付け、1~2週間程度の期間発音が不明瞭になりますが、まったくその問題を感じない方もいますので、個人差があるようです。
表からの装置に比べ1.2~1.5倍ほど割高になります。
ハイブリットコアシステムを用いて治療をするようになり、ほとんどの患者様で表からの治療と同じ結果を出すことができるようになってきましたが、まれに裏側からの治療においてコントロールしきれない部分が出てくる場合がありあます。
(患者様の目にはっきりわかる程度ではないのですが)このような場合患者様の同意を得たうえで、表に装置を付けさせていただき100%の仕上がりを目指す場合があります。
(これは治療前にはなかなか予測できない部分なのですが)
裏側からの治療において特別な条件の患者様では表からの治療のほうがより良い結果を得ることができます。
●奥歯を多く失っている方
●外科矯正をされる患者様
お問い合わせは、医院案内の相談コーナーよりしていただけます。
2008年より日本で製作されている舌側矯正装置です。
装置とワイアーを止める機構が装置自身に付いているので、止めるワイアーが引っかかるなどのトラブルが少ない装置です。

従来の装置

ClippyLブラケット
お問い合わせは、医院案内の相談コーナーよりしていただけます。
パークアベニュー矯正歯科
着けているのを感じさせないほど目立たない装置です。
お問い合わせは、医院案内の相談コーナーよりしていただけます。
矯正用アンカースクリューとは
矯正用に作られたアンカースクリューを治療期間の一時期に顎骨に入れることにより、それを固定源にし、今まで難しかった歯の移動や、患者様の協力(ヘッドギアー・ゴム)をほとんど必要とせず治療を行える新しい矯正治療です。
矯正用アンカースクリューの歴史
一般的なインプラント治療は約40年前より行われており、人口歯根として最近では治療法が確立し広く普及してまいりました。
一方で矯正用アンカースクリューの使用が本格的に始まったのは1997年以降で、その歴史はまだ浅いです、当初は外科用の小さなインプラントを矯正用として代用して使用していましたが、2000年以降は矯正専用の製品も数多く出てきて、必要な場所に必要な物が使えるようになってまいりました。
矯正用アンカースクリューの形態、材質について
矯正用アンカースクリューの材質は、チタンという金属です。
これは骨折時のプレート固定などに用いられる、人体との親和性のとても高い材料です。
矯正用アンカースクリュー埋入について
表面麻酔 → 局所麻酔(歯を抜く場合の半分程度の量) → 矯正用アンカースクリュー埋入 → 消毒
時間は、1本あたり15~20分です
矯正用アンカースクリューを入れている期間
矯正治療中ずっと入れているわけではありません。
矯正用アンカースクリューを必要とする期間(平均6~8ヶ月)のみに使用します。

矯正用アンカースクリューが入っているところ
矯正用アンカースクリューをはずす時
矯正用アンカースクリューを反対側に回転させると簡単にはずれます。
特に麻酔などは必要ありません。ほとんどの患者は痛みを感じなようです。はずした後は1週間程度で完全にもとの状態に戻ります。
傷などは残るようなことはありません。

矯正用アンカースクリュー除去後
矯正用アンカースクリュー除去後は粘膜、骨は完全に元に戻りますのでご心配いりません。
矯正用アンカースクリューの費用
1本26,500円(税込み)です。
この費用には痛み止め・洗口薬などのお薬代とはずすときの処置料など矯正用アンカースクリューに関わるすべての料金が含まれます。
※矯正用アンカースクリューを使用することにより、ヘッドギアー・ゴムなどを使用する必要がなくなり、治療期間がかなり短縮されます。
これによりヘッドギアー・ゴムの料金、治療期間が短縮する分の調整料がいらなくなり、トータルとしてはその他の治療を選択するのとほとんどかわらない料金となります。
矯正用アンカースクリューの留意点
<矯正用アンカースクリューの脱落>
10%程度の確立で、矯正用アンカースクリューが自然に脱落することがあります。この時は痛みなどを感じることはなく、矯正用アンカースクリューが少しゆるくなってきたような感じを受けます。
脱落した場合は、1週間程度期間をあけ再度矯正用アンカースクリューを埋入します。その場合特に料金はいただきません。
<矯正用アンカースクリュー周囲の炎症>
矯正用アンカースクリュー周囲が不衛生になると、周囲の歯肉が炎症を起こすことがあります。
矯正器具同様いつも清潔にしていただくことが大切です。
矯正用アンカースクリューのメリット
矯正用アンカースクリューのデメリット
固定のコントロールは矯正治療において最も重要な課題の一つです。実際の治療において、移動に対する高い抵抗源が必要な場合が多々あります。しかし、ニュートンの第三法則(作用・反作用の法則:2つの物体が相互作用するとき、物体1が物体2に及ぼす力は、物体2が物体1に及ぼす力と大きさが等しく方向が反対である)に従えば、矯正治療において、固定源となる歯を全く動かさず動かしたい歯を動かすことはほとんど不可能と考えられます。
したがって今までは顎外固定装置(ヘッドギアーなど)が固定源の補強のために用いられてきました。しかし、顎外固定装置は患者様に多大な協力を強いることになり、ましてや24時間全日使用することなど不可能なことでした。その結果固定源を失わず矯正治療をおこなうことはきわめて困難なことでした。
矯正用アンカースクリューを治療に用いることにより、固定源を失わない治療ができるようになったことは、患者様、矯正医にとってとても幸福なことであり、治療計画をいままでよりはるかに正確に実行できるようになりました。
お問い合わせは、医院案内の相談コーナーよりしていただけます。
パークアベニュー矯正歯科
7歳の時に矯正医一度にチエックしてもらうことをお勧めします。
この時期は上下奥歯と上下の前歯4本が出てくる時期で、これからのおとなの歯のかみ合わせが正常に進むかどうかを最初に判断できる時期だからです。
以下のような場合には、その状態に気づいた時にご相談いただければと思います。
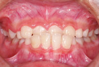
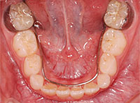
主訴:前歯が反対になっている
診断名:上顎前歯の舌側傾斜による反対咬合の症例
装置名:舌側弧線装置(リンガルアーチ)
非抜歯症例
リスク、副作用:装置周辺のブラッシングが不十分な場合、歯肉炎、虫歯になることがある

治療前

治療後
年齢:8歳2ヶ月
治療期間:10ヶ月
費用:装置料、技術料 400,000円
調整料 5,000円 (消費税別)
※治療期間と費用はケースにより異なりますので目安としてご参照願います。
通常は反対の状態が改善し、3ヶ月程度後戻りしないよう装置を入れておきます。
その後装置をはずし、半年~1年おきにチェックに来院いただき、大人の歯列が問題なく完成するまでの間経過観察をしてゆきます。
装置料、技術料には、その後必要なレントゲン、模型、写真などの料金がすべて含まれます。
主訴:下が前に出ている
診断名:乳歯列の反対咬合(機能的前方位)
初診時年齢:4才2カ月
装置名:歯列矯正用咬合誘導装置(ムーシールド)
非抜歯症例
リスク、副作用:1日の使用時間が短い場合あまり効果が期待できない

治療前

治療後
年齢:4歳2ヶ月
治療期間:7ヶ月
費用:装置料、技術料 110,000円
調整料 5,000円 (消費税別)
※治療期間と費用はケースにより異なりますので目安としてご参照願います。
適応は骨格的な問題が少ない乳歯列の反対咬合のお子様です。
装置は夜間(就寝時)のみ8~10時間使用していただきます。
装置を装着することにより、上唇が内側に入る力が排除し、舌が下の歯列を前に押す力を排除することにより上の前歯が前方に移動し、下の前歯が後方に入り反対の状態が改善されます。
主訴:上の歯がカガガタしている
診断名:歯と歯槽基底の大きさの不調和による叢生の症例
初診時年齢:8才2カ月
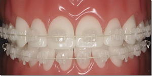
装置名:唇側矯正装置(固定式エッジワイズ装置)
非抜歯症例
リスク、副作用:ブラッシングが不十分な場合、歯肉炎、虫歯になる可能性がある

治療前

治療後
年齢:8歳2ヶ月
治療期間:10ヶ月
費用:装置料、技術料 400,000円
調整料 5,000円(消費税別)
※治療期間と費用はケースにより異なりますので目安としてご参照願います。
前歯4本が生えかわり、スペースが不足していたケースです。
装置を付け、1か月に一度御来院いただき歯列を少し拡大し内側に入っていた歯を歯列に入れてゆきます。
装置が外れた後は、裏からの保定装置で保定し、3,4カ月に一度クリーニングを受けていただき、経過を診せていただきます。
装置料、技術料には、その後必要なレントゲン、模型、写真などの料金がすべて含まれます。
主訴:下の歯が1本内側に入っている
診断名:歯と歯槽基底の大きさの不調和による叢生の症例
初診時年齢:8才2カ月
装置名:唇側矯正装置(固定式エッジワイズ装置)
非抜歯症例
リスク、副作用:ブラッシングが不十分な場合、歯肉炎、虫歯になる可能性がある

治療前

治療後
年齢:8歳2ヶ月
治療期間:7ヶ月
費用:装置料、技術料 400,000円
調整料 5,000円 (消費税別)
※治療期間と費用はケースにより異なりますので目安としてご参照願います。
下あごの前歯が生える部分にスペースが足りない場合、永久歯が1本内側に生えてくる場合があります。
このケースでは、歯列を拡大し内側に生えている歯が入ることができるスペースを準備し、その後このスペースに入れていきます。
しっかり入った後は、後戻りしないように裏側から、押さえておく装置(リンガルアーチ)を入れて、横の乳歯が生え換わるのを待ちます。
装置料、技術料には、その後必要なレントゲン、模型、写真などの料金がすべて含まれます。
主訴:前歯が出ている
診断名:上顎前歯の唇側傾斜による上顎前突の症例で、わずかな下顎骨の劣勢長を伴う
初診時年齢:7才8カ月
装置名:可撤式矯正装置(バイオネーター)
非抜歯症例
リスク、副作用:装置の使用時間が短い場合、目標の位置まで歯牙の移動が起こらない場合がある


治療前

治療中
可撤式矯正装置(バイオネーター)


治療後
年齢:7歳8ヶ月
治療期間:7ヶ月
費用:装置料、技術料 350,000円
調整料 5,000円 (消費税別)
※治療期間と費用はケースにより異なりますので目安としてご参照願います。
写真の装置はバイオネーターという装置で、ヨーロッパで広く使われております。主に夜間寝る時に使用し、学校に行くときなどは使いません。成長期に使うと効果的で、気道が十分確保されるので鼻呼吸がしやすくなります。前歯が後ろに下がった後は、後戻りしないよう夜間中心にリテーナーという装置を使います(6~8週に一度)。
装置料、技術料には、その後必要なレントゲン、模型、写真などの料金がすべて含まれます。
主訴:前歯がかみ合わない
診断名:舌癖による開口の症例
初診時年齢:7才2カ月
装置名:可撤式矯正装置(バイオネーター)
非抜歯症例
リスク、副作用:装置の使用時間が短い場合、目標の位置まで歯牙の移動が起こらない場合がある。
目標の位置まで歯牙移動が起こった後、舌のトレーニングを行わないと、後戻りの原因となる。

治療前

治療中
可撤式矯正装置(バイオネーター)

治療後
年齢:7歳2ヶ月
治療期間:9ヶ月
費用:装置料、技術料 370,000円
調整料 5,000円 (消費税別)
※治療期間と費用はケースにより異なりますので目安としてご参照願います。
指しゃぶりにより前歯が開いてしまった例です。9ヶ月間のバイオネーター使用にて前歯で物がかみ切れるようになりました。バイオネーター終了後は後戻りしないよう夜間中心にリテーナーという装置を使います(6~8週に一度)。
装置料、技術料には、その後必要なレントゲン、模型、写真などの料金がすべて含まれます。
お問い合わせは、医院案内の相談コーナーよりしていただけます。
パークアベニュー矯正歯科
![]() |
STEP 1 矯正相談 所要時間約45分 初回は、あなたのお口を診せていただいてから、当院での矯正治療の説明(おおまかな治療内容、期間、費用)をいたします。また治療に関するさまざまな疑問や心配ごとをお聞きします。ご希望によりこのときに歯列模型、レントゲンをおとりします。 |
![]() |
STEP 2 精密検査 所要時間約40分 写真、レントゲン、3Dデータをおとりさせていただきます。 |
![]() |
STEP 3 検査結果の説明 所要時間約30分 2週間位で分析をし、あなたに一番適した治療方法をお話します。 この結果を聞いていただいた上で、あなたのご希望をふまえ最終的な治療方法、装置の種類、期間等を決めてゆきます。 |
![]() |
STEP 4 クリーニング 所要時間約30分 矯正治療をすることになりましたら、まずクリーニングを行い治療の準備を行っていきます。 同時にお手入れについてのセミナー、唾液検査を受けていただき治療中虫歯にならないための準備をしてゆきます。 |
![]() |
STEP 5 治療開始 所要時間約60分 装置を装着し、いよいよ治療のはじまりです。 装置が入ったあとのブラッシング指導も歯科衛生士により同時に始めていきます。 |
![]() |
STEP 6 治療期間中 所要時間約30分 4w~6w間隔の来院となります。 硬いものを食べ、装置が取れた場合などにはすぐご連絡いただき緊急に対応いたします。 |
![]() |
STEP 7 装置の除去・保定装置の装着 所要時間約60分 今まで付けていた装置をはずし、クリーニングを受けていただきます。 後戻り防止のための保定装置を装着いたします。 |
![]() |
STEP 8 保定期間 半年に1度の間隔でご来院いただき、かみ合わせの状態の確認、保定装置のチェックとクリーニングを行います。 |
お問い合わせは、医院案内の相談コーナーよりしていただけます。
リスク
装置を付けると虫歯になるリスクが高くなります。
対策
当医院では虫歯の対策として、治療前に十分虫歯についての知識を持っていただくためのセミナーを受けていただきます(約15分・料金はかかりません)。その時に患者様それぞれがもってらっしゃる虫歯に対する抵抗力を調べるために唾液検査(約5分・料金はかかりません)をいっしょに受けていただきます。
これにより、お口の中にいる細菌の量、緩衝能(食後お口の中が酸性になった状態を中性に戻す能力)、唾液の量を調べ5段階で評価し、こちらでどのようなケアー(歯のクリーニング・フッソ塗布)を矯正治療中してゆけばよいのかの計画を立てます。
患者様の虫歯になりやすさをあらかじめわかっていればどのような対策を立ててゆけばよいのかがわかり、安心して矯正治療に入れますよね。
また950ppm以上フッ素が入っている当医院指定の歯磨き粉を使っていただくことで、虫歯に対しては万全の体制でのぞんでおります。以上のことからも治療中の虫歯に対する心配はそれほどなさらなくてもよいかと思います。
リスク
装置の周囲がうまくみがけない状況が長くつづくと歯肉が赤く腫れるようなことがあります。

歯と歯ぐきのさかいめが赤くなり、
腫れている状態
対策
歯科衛生士によるブラッシング指導、クリーニングを治療の時には必ず受けていただきます。ブラッシングがしっかりできてくると、1週間程度で歯ぐきはもとの状態に戻ります。
リスク
矯正治療後に、歯と歯の間の歯肉がさがり、写真のような三角形の隙間ができる場合があります。

ブラックトライアングル
対策
20歳以下の患者様ではこのようなことはほとんどおこりませんが、主に、成人の方に時折みられます。歯周病により引き起こされる歯肉退縮とは異なりますので歯の健康上の問題はありません。
原因がわかっておりますので、矯正治療前にある程度予測できますが、隙間がどうしても気になる場合には、歯の横の部分をすこし削って歯の幅を小さくし、歯の形を変え隙間を小さくする方法で対処してゆきます。
お問い合わせは、医院案内の相談コーナーよりしていただけます。
パークアベニュー矯正歯科
| 初診料(相談料) | 無料 |
| 精密検査料 | 20,000円 |
| 診断料 | 10,000円 |
| (消費税別) | |
| 装置・技術料 | お子様の予防矯正 100,000~300,000円 |
| 混合歯列矯正(6~12才) 350,000~600,000円 |
|
| 表からの矯正(透明) 450,000~1,150,000円 |
|
| 上のみ裏からの矯正 880,000~1,375,000円 |
|
| 上下裏からの矯正 1,080,000~1,500,000円 |
|
| 調整料 | お子様の予防矯正 5,000円 |
| 表からの矯正 6,000円 |
|
| 裏からの矯正 8,000円 |
|
| (消費税別) | |
| 保定装置料 | 50,000円 |
| 調整料(保定時) | 5,000円 |
| (消費税別) | |
お問い合わせは、医院案内の相談コーナーよりしていただけます。
パークアベニュー矯正歯科
カウンセリング・治療のご予約は、ネット予約システム または お電話にて承っております。